¿Por qué Straumann?
Por la calidad del material.
Porque es uno de los implantes que más estudios avalan y respaldan sus resultados a corto medio y largo plazo.
Por la calidad de los materiales que conectarán al implante (dentro del hueso) con la prótesis que es lo que vemos en boca (diente o corona). Esta pieza llamada pilar o conexión debe ser de una gran calidad para soportar las fuerzas de la masticación adecuadamente y sellar la corona con el implante para que no entre comida.
Todos nuestros pacientes que se les colocan implantes les facilitamos un carnet de implantes con el número de referencia, lote, localización y fecha de colocación del implante.
La colocación de un implante es un proceso muy protocolizado hoy en día. Lo más importante es el DIAGNÓSTICO, en el caso del implante es necesario valorar la cantidad de hueso. Esto lo realizamos en NUESTRO CENTRO con el mejor escáner disponible, el CS 9000 3D, donde valoramos de forma individualizada para cada caso la cantidad de hueso y tipo de implante que necesita el paciente.
La colocación de un implante puede ser muy sencilla, en algunos casos no necesitamos dar ni puntos, mientras que en otros casos complejos se necesitará colocar huesos y membrana de soporte y cicatrización.
La colocación de un implante puede ser muy sencilla
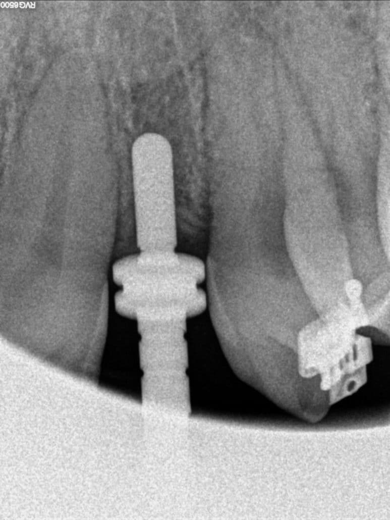
Este ejemplo muestra la colocación de un implante complejo en el sector anterior con poco espacio entre las raíces de los dientes adyacentes. Cualquier desvío en la colocación de un implante puede resultar crítico en su colocación por ello mostramos este ejemplo de un implante correctamente colocado en un espacio estrecho:
Vídeos sobre implantes dentales
Implante Unitario



Prótesis fija inferior atornillada a implantes



Prótesis fija superior atornillada a implantes


Puente sobre implantes




Sobredentadura sobre barra a implantes



Sobredentadura retenida sobre LOCATORS®





Pida cita en nuestra clínica
¿Necesita un dentista en Pinto? ¡Pida cita y le atenderemos!
¿Dónde estamos?
Somos una Clínica Podológica Dental de Pinto con la última tecnología para el diagnóstico dental y podológico.
Estamos en Pinto, en la calle de las Alpujarras, 41 ¡Ven a conocernos!